Skip to content Skip to sidebar Skip to footer

Gorham’s Disease

Gorham S Disease Wikipedia

Gorham S Disease Wikipedia

Gorham's disease. The ribs spine pelvis skull. Gorhams disease is a rare disorder characterized by osteolysis 14. Gorhams disease fortunately is an extremely rare disorder of the musculoskeletal system.

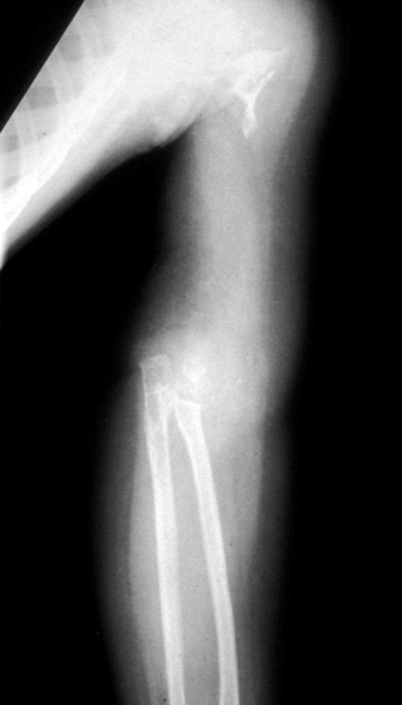
Gorhams disease GD is a rare form of lymphangiomatosis associated with profound osteolysis. Gorhams disease is a rare disorder characterized by proliferation of vascular channels that results in destruction and resorption of osseous matrix. Gorham-Stout may affect multiple bones but in most cases it is a regional disease meaning it stays in one region of the body.

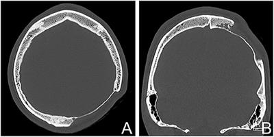
We report a case of an adolescent boy with massive osteolysis of the mandible in whom the diagnosis of Gorhams disease was. A chest radiograph showed osteolysis of the left first second and third ribs. Gorhams Disease also known by the name of Disappearing Bone Disease is an extremely uncommon medical condition of the skeletal system which does not have a specific etiology in which there is uncontrolled proliferation of lymphatic channels within the bone causing resorption and replacement of bone fibrosis.

The symptoms of GSD depend upon the specific bones involved. The exact cause of GSD. This patient eventually developed chylothorax and expired.

Small limb lesions can cause fractures while spinal involvement or chylothorax associated with rib lesions can be life threatening. In 1954 Gorham and colleagues1reported on two patients with massive osteolysis of the bone. Gorham-Stout Disease General Discussion.

Muchos ejemplos de oraciones traducidas contienen Gorhams disease Diccionario español-inglés y buscador de traducciones en español. Bone loss can occur in just one bone or spread to soft tissue and adjacent bones. AB - We report a case of Gorhams disease of the chest wall in a 29-year-old man.

Gorham-Stout disease GSD which is also known as vanishing bone disease disappearing bone. It was first described by Jackson in 1838 but it was Gorham and Stout in 1955 who defined this disease as a specific.

Gorham Disease Involving The Maxillofacial Bones A Perplexing Entity Sciencedirect

Gorham Disease Involving The Maxillofacial Bones A Perplexing Entity Sciencedirect

Gorham Disease Radiology Reference Article Radiopaedia Org

Gorham Disease Radiology Reference Article Radiopaedia Org

Disappearing Calvarium In Gorham Disease Mr Imaging Characteristics With Pathologic Correlation American Journal Of Neuroradiology

Disappearing Calvarium In Gorham Disease Mr Imaging Characteristics With Pathologic Correlation American Journal Of Neuroradiology

Teaching Neuroimages Vanishing Calvarium In Gorham Disease Neurology

Teaching Neuroimages Vanishing Calvarium In Gorham Disease Neurology

Fatal Progression Of Gorham Disease A Case Report And Review Of The Literature Journal Of Oral And Maxillofacial Surgery

Fatal Progression Of Gorham Disease A Case Report And Review Of The Literature Journal Of Oral And Maxillofacial Surgery

Frontiers A Large Skull Defect Due To Gorham Stout Disease Case Report And Literature Review On Pathogenesis Diagnosis And Treatment Endocrinology

Frontiers A Large Skull Defect Due To Gorham Stout Disease Case Report And Literature Review On Pathogenesis Diagnosis And Treatment Endocrinology

Case 203 Gorham Disease Radiology

Case 203 Gorham Disease Radiology

Presentation3 Radiological Imaging Of Vanshing Bone Tumour

Presentation3 Radiological Imaging Of Vanshing Bone Tumour

Gorham Stout Disease Successfully Treated With Sirolimus Rapamycin A Case Report And Review Of The Literature Bmc Musculoskeletal Disorders Full Text

Gorham Stout Disease Successfully Treated With Sirolimus Rapamycin A Case Report And Review Of The Literature Bmc Musculoskeletal Disorders Full Text

Massive Craniofacial Gorham Disease Treated Successfully By Cisplatin And 5 Fluorouracil With Ten Years Of Follow Up A Case Report And Literature Review Journal Of Oral And Maxillofacial Surgery

Massive Craniofacial Gorham Disease Treated Successfully By Cisplatin And 5 Fluorouracil With Ten Years Of Follow Up A Case Report And Literature Review Journal Of Oral And Maxillofacial Surgery

Frontiers A Large Skull Defect Due To Gorham Stout Disease Case Report And Literature Review On Pathogenesis Diagnosis And Treatment Endocrinology

Frontiers A Large Skull Defect Due To Gorham Stout Disease Case Report And Literature Review On Pathogenesis Diagnosis And Treatment Endocrinology

Gorham S Disease Mandible Radiology Case Radiopaedia Org

Gorham S Disease Mandible Radiology Case Radiopaedia Org

Scielo Brasil Gorham Stout Syndrome The Radiologic Pathologic Correlation As A Diagnostic Pathway When Bone Is Vanishing Gorham Stout Syndrome The Radiologic Pathologic Correlation As A Diagnostic Pathway When Bone Is Vanishing

Scielo Brasil Gorham Stout Syndrome The Radiologic Pathologic Correlation As A Diagnostic Pathway When Bone Is Vanishing Gorham Stout Syndrome The Radiologic Pathologic Correlation As A Diagnostic Pathway When Bone Is Vanishing

Gorham Stout Disease Gsd Progressive Destruction Of The Mandible In Download Scientific Diagram

Gorham Stout Disease Gsd Progressive Destruction Of The Mandible In Download Scientific Diagram

Presentation3 Radiological Imaging Of Vanshing Bone Tumour

Presentation3 Radiological Imaging Of Vanshing Bone Tumour

What Is Gorham S Disease Lymphangiomatosis Gorham S Disease Alliance

What Is Gorham S Disease Lymphangiomatosis Gorham S Disease Alliance

Vanishing Bone Disease Gorham Stout Syndrome A Review Of A Rare Entity

Vanishing Bone Disease Gorham Stout Syndrome A Review Of A Rare Entity

Figure 1 From A Case Of Vanishing Skull Gorham S Disease Semantic Scholar

Figure 1 From A Case Of Vanishing Skull Gorham S Disease Semantic Scholar

A Rare Case Of Progressive Gorham S Disease Of Right Shoulder Girdle And Cervical Spine In A Child 10 Year Follow Up And A Review Of Literature Journal Of Orthopaedic Case Reports

A Rare Case Of Progressive Gorham S Disease Of Right Shoulder Girdle And Cervical Spine In A Child 10 Year Follow Up And A Review Of Literature Journal Of Orthopaedic Case Reports

Radiological Features Of Gorham S Disease Clinical Radiology

Radiological Features Of Gorham S Disease Clinical Radiology

Gorham S Disease

Gorham S Disease

Complex Single Step Skull Reconstruction In Gorham S Disease A Technical Report And Review Of The Literature Bmc Surgery Full Text

Complex Single Step Skull Reconstruction In Gorham S Disease A Technical Report And Review Of The Literature Bmc Surgery Full Text

Vanishing Bone Disease Gorham S Disease A Rare Occurrence Of Unknown Etiology Ray S Mukhopadhyay S Bandyopadhyay R Sinha Sk Indian J Pathol Microbiol

Vanishing Bone Disease Gorham S Disease A Rare Occurrence Of Unknown Etiology Ray S Mukhopadhyay S Bandyopadhyay R Sinha Sk Indian J Pathol Microbiol

1

1

Gorham S Disease Sufferer Has Jaw Re Built With Her Toe Daily Mail Online

Gorham S Disease Sufferer Has Jaw Re Built With Her Toe Daily Mail Online

Gorhams Disease Of A Mandible A Case Report Omics International

Gorhams Disease Of A Mandible A Case Report Omics International

Scielo Brasil Gorham S Disease Clinical Case Gorham S Disease Clinical Case

Scielo Brasil Gorham S Disease Clinical Case Gorham S Disease Clinical Case

Gorham Stout Disease In The Rib And Thoracic Spine With Spinal Injury Treated With Radiotherapy Zoledronic Acid Vitamin D And Propranolol A Case Report And Literature Review

Gorham Stout Disease In The Rib And Thoracic Spine With Spinal Injury Treated With Radiotherapy Zoledronic Acid Vitamin D And Propranolol A Case Report And Literature Review

Gorham Disease Involving The Maxillofacial Bones A Perplexing Entity Sciencedirect

Gorham Disease Involving The Maxillofacial Bones A Perplexing Entity Sciencedirect

Gorham Stout Disease Of The Mandible Case Report And Review Of Literature Of A Rare Type Of Osteolysis Springerlink

Gorham Stout Disease Of The Mandible Case Report And Review Of Literature Of A Rare Type Of Osteolysis Springerlink

Absent Right Iliac Bone On Tc99m Mdp Bone Scan In A Patient With Gorham S Vanishing Bone Disease Scienceopen

Absent Right Iliac Bone On Tc99m Mdp Bone Scan In A Patient With Gorham S Vanishing Bone Disease Scienceopen

Figure 1 From Gorham S Disease Of Skull Base And Cervical Spine Confusing Picture In A Two Year Old Semantic Scholar

Figure 1 From Gorham S Disease Of Skull Base And Cervical Spine Confusing Picture In A Two Year Old Semantic Scholar

Gorham Stout Syndrome Presenting In A 5 Year Old Girl With A Successful Bisphosphonate Therapeutic Effect

Gorham Stout Syndrome Presenting In A 5 Year Old Girl With A Successful Bisphosphonate Therapeutic Effect

Pdf Gorham Disease Involving The Maxillofacial Bones A Perplexing Entity

Pdf Gorham Disease Involving The Maxillofacial Bones A Perplexing Entity

Gorham S Disease Know The Causes Symptoms Treatment Of Disappearing Bone Disease

Gorham S Disease Know The Causes Symptoms Treatment Of Disappearing Bone Disease

Antero Posterior Radiograph Of The Pelvis In A Patient With Gorham S Download Scientific Diagram

Antero Posterior Radiograph Of The Pelvis In A Patient With Gorham S Download Scientific Diagram

References In Cutaneous Lymphatic Malformations In Disappearing Bone Gorham Stout Disease A Novel Clue To The Pathogenesis Of A Rare Syndrome Journal Of The American Academy Of Dermatology

References In Cutaneous Lymphatic Malformations In Disappearing Bone Gorham Stout Disease A Novel Clue To The Pathogenesis Of A Rare Syndrome Journal Of The American Academy Of Dermatology

Scielo Brasil Gorham S Disease Clinical Case Gorham S Disease Clinical Case

Scielo Brasil Gorham S Disease Clinical Case Gorham S Disease Clinical Case

Gorham Disease Involving The Maxillofacial Bones A Perplexing Entity Abstract Europe Pmc

Gorham Disease Involving The Maxillofacial Bones A Perplexing Entity Abstract Europe Pmc

Gorham S Disease Ct Scans Stock Image C015 5085 Science Photo Library

Gorham S Disease Ct Scans Stock Image C015 5085 Science Photo Library

A Rare Case Of Progressive Gorham S Disease Of Right Shoulder Girdle And Cervical Spine In A Child 10 Year Follow Up And A Review Of Literature Journal Of Orthopaedic Case Reports

A Rare Case Of Progressive Gorham S Disease Of Right Shoulder Girdle And Cervical Spine In A Child 10 Year Follow Up And A Review Of Literature Journal Of Orthopaedic Case Reports

A Report Of Two Children With Gorham Stout Disease Bmc Pediatrics Full Text

A Report Of Two Children With Gorham Stout Disease Bmc Pediatrics Full Text

Gorham S Disease 3d Ct Scan Stock Image C015 5084 Science Photo Library

Gorham S Disease 3d Ct Scan Stock Image C015 5084 Science Photo Library

What Is Gorham S Disease Lymphangiomatosis Gorham S Disease Alliance

What Is Gorham S Disease Lymphangiomatosis Gorham S Disease Alliance

Case 203 Gorham Disease Radiology

Case 203 Gorham Disease Radiology

Radiographic Extent Of Maxillofacial Gorham S Disease And Its Impact On Recurrence A Systematic Review Oral Surgery Oral Medicine Oral Pathology And Oral Radiology

Radiographic Extent Of Maxillofacial Gorham S Disease And Its Impact On Recurrence A Systematic Review Oral Surgery Oral Medicine Oral Pathology And Oral Radiology

Vanishing Bone Disease Gorham Stout Syndrome Springerlink

Vanishing Bone Disease Gorham Stout Syndrome Springerlink

Presentation3 Radiological Imaging Of Vanshing Bone Tumour

Presentation3 Radiological Imaging Of Vanshing Bone Tumour

Https Encrypted Tbn0 Gstatic Com Images Q Tbn And9gcsbwaane9appxycdi7lqjrzkgzwujmt4q0 Ir2qt7tejbqcd1sb Usqp Cau

Https Encrypted Tbn0 Gstatic Com Images Q Tbn And9gcsbwaane9appxycdi7lqjrzkgzwujmt4q0 Ir2qt7tejbqcd1sb Usqp Cau

Bone loss can occur in just one bone or spread to soft tissue and adjacent bones.

Bones commonly affected by Gorham-Stout include. Gorham-Stout Disease General Discussion. We report a case of an adolescent boy with massive osteolysis of the mandible in whom the diagnosis of Gorhams disease was. Outcome depends on the site affected. The symptoms of GSD depend upon the specific bones involved. Histopathologically normal bone is replaced by vascular lymphatic proliferation but not neoplastic proliferation 56. Gorham-Stout disease GSD which is also known as vanishing bone disease disappearing bone. The most conspicuous element of Gorhams disease is its radiographic features wherein massive disappearance of the mandible is observed. In 1954 Gorham and colleagues1reported on two patients with massive osteolysis of the bone.


AB - We report a case of Gorhams disease of the chest wall in a 29-year-old man. This patient eventually developed chylothorax and expired. Gorhams disease GD is a rare form of lymphangiomatosis associated with profound osteolysis. Gorhams Disease also known by the name of Disappearing Bone Disease is an extremely uncommon medical condition of the skeletal system which does not have a specific etiology in which there is uncontrolled proliferation of lymphatic channels within the bone causing resorption and replacement of bone fibrosis. Bones commonly affected by Gorham-Stout include. The most conspicuous element of Gorhams disease is its radiographic features wherein massive disappearance of the mandible is observed. Of the two cases one was a boy 16 years of age with right clavicle and scapula involvement.

Post a Comment for "Gorham’s Disease"